Сапфировые брекеты

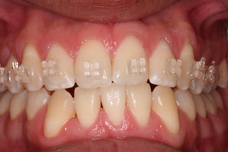
Сапфировые брекеты относятся к вестибулярным (обращенным наружу) брекетам и производятся из искусственно выращенных камней. Они набирают все большую популярность, благодаря своей незаметности для окружающих и более простому уходу.
Современные системы брекетов выглядят аккуратно, а керамические или сапфировые брекеты на зубах почти незаметны. В Америке и Европе лечение при помощи брекетов считается престижным, относится к эстетическому лечению и, следовательно, говорит о достатке и заботе о собственном здоровье.
Отделение ортодонтии стоматологической клиники М-Плаззо предлагает эстетичное решение проблемы ношения брекетов – сапфировые системы от InspireIce. Это надежные брекет-системы высокой прозрачности. Их изготавливают из монокристаллов искусственно выращенного сапфира, они идеально отполированы, благодаря чему обеспечивается максимальный комфорт и усиление эстетической привлекательности. Высокое качество полировки способствует меньшему трению в сравнении с керамическими брекетами, из-за чего процесс перемещения зубов проходит намного эффективнее.
Преимущества сапфировой системы
Сапфировые брекеты очень прочные и не меняют цвета во время лечения. И самым основным преимуществ является то, что они незаметны - фактически на зубах пациента видна лишь тонкая металлическая проволока – основа для крепления брекетов.
Расценки на ортодонтическое лечение Вы можете узнать по телефону с одним из наших администраторов: (495) 223-77-97, (495) 223-77-98.
Отзывы
"Хочу поделиться с вами своей радостью – вчера мне сняли брекеты. Носила их ровно год – и вот теперь я могу улыбаться и показывать всем свои красивые зубки. Еще раз спасибо Вам ) (Анна)"
"Долго выбирала между металлическими и сапфировыми. Перерыла весь интернет – в итоге решилась. И скажу вам не зря выбрала сапфировые брекеты – привыкала конечно недельку к ним, но зато зубы выпрямлялись прямо на глазах. Очень довольна – спасибо М-Плаззо. (Юлия)"
- Услуги
- Зубные импланты
- Имплантация передних зубов
- Лазерная имплантация зубов
- Одноэтапная имплантация зубов за один день
- Лечение зубов
- Протезирование
- Хирургия
- Ортодонтия
- Сапфировые брекеты
- Брекеты Incognito
- Элайнеры OrthoSnap
- Лечение пародонтита
- Отбеливание зубов
- Виниры
- Художественная реставрация
- Детская стоматология
- Имплантация зубов
