Брекеты Incognito

Наша клиника успешно занимается лечением зубочелюстных аномалий и исправлением прикуса, которые возникают при неправильном внутриутробном развитии плода или являются наследственным признаком.
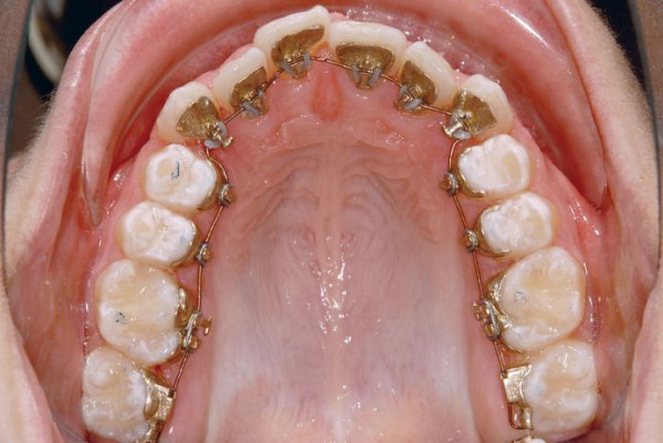
Брекеты Incognito являются уникальной разработкой врачей-ортодонтов, в прямом смысле – революционной методикой. Этот эффективный метод набрал популярность во всем мире, особенным спросом он пользуется у молодых людей.
Лингвальные брекеты отличаются от традиционных тем, что их устанавливают на внутреннюю сторону зубного ряда. Конечно, некоторые несущественные неудобства в процессе привыкания имеются, они связаны с тем, что конструкция непосредственно контактирует с языком, но трудности быстро проходят – пациенты осваиваются.
Наши специалисты сертифицированы
Брекеты Incognito не создают препятствий для нормального произношения в процессе их использования, так как они имеют размер меньший, чем их предшественники, и не мешают языку. Брекеты выполняют из дорогих высококачественных материалов – как правило, из золотого сплава.
Брекеты системы Инкогнито изготавливают в немецкой лаборатории Top Service, используя при этом точные слепки с зубов пациентов. При изготовлении ортодонтических конструкций специалисты используют метод компьютерного моделирования, что позволяет добиться действительно высоких результатов.
Лечение брекет-системой Incognito в нашей клинике проводит врач-ортодонт Юнус Ахмедханов. Общий стаж работы доктора - 13 лет, стаж работы с системой Incognito - 5 лет, количество вылеченных упомянутой системой пациентов - 27 (ещё несколько в настоящее время на лечении).
Фото
Отзывы
"Обратилась в эту клинику, так как на протяжении 20 лет меня уже беспоили мои зубы. В детстве обращалась к ортодонту, но это мне не помогло и зубы вернулись в свое прежнее положение. Лечить предложили брекет-системой Инкогнито. И вот теперь лечение закончилось, а я могу улыбаться без стеснения - и это замечательное чувство. Спасибо Вам БОЛЬШОЕ!!!"
"Искала давно клинику которая специализируется на установке берекетов Инкогнито, так как выяснилось, что в России мало специалистов, которые занимаются их установкой. Выбор пал на М-Плаззо - в принципе никаких претензий нет, хорошая клиника, хорошие специалисты."
- Услуги
- Зубные импланты
- Имплантация передних зубов
- Лазерная имплантация зубов
- Одноэтапная имплантация зубов за один день
- Лечение зубов
- Протезирование
- Хирургия
- Ортодонтия
- Сапфировые брекеты
- Брекеты Incognito
- Элайнеры OrthoSnap
- Лечение пародонтита
- Отбеливание зубов
- Виниры
- Художественная реставрация
- Детская стоматология
- Имплантация зубов
